U.S. Mayors: Cost-Cutting on Services
and Infrastructure Kills People
May 2016
![]() view full size |
|
mosquito: wikimedia commons; zika virus: CDC .
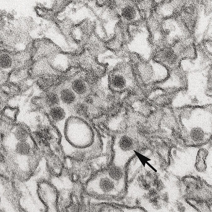
The arrow points to a Zika virus particle in this image from a transmission electron microscope. Top: the mosquito Aedes aegypti, which spreads dengue fever, Chikungunya, and Zika virus. .
|
![]() view full size |
April 26, 2016 (EIRNS)—A survey of 55 U.S. mayors taken by Politico magazine in its fifth National Mayors’ Survey, reveals that one in three of them believes that citizens lives may have been jeopardized as a result of "cost-saving" decisions on critical infrastructure. Half of those surveyed (the majority of whom were Democrats), believe that their roads, bridges, and water pipes have deteriorated enormously over the past decade.
Related to this is the catastrophic situation facing states and municipalities which will not receive millions of dollars in promised federal funds to deal with the expected Zika virus spread, as well as any number of other public health emergencies, The Washington Post reported today. The Obama administration "redirected" $44 million in emergency preparedness grants that were to go to state and local public health departments, starting in July. Congress has yet to approve the White House’s $1.9 billion in emergency funds to combat Zika.
Over the past 11 years, federal funding to state and local public health emergencies has been cut by a third—under the Bush and Obama administrations. The National Association of County and City Health Officials, representing 2,800 local health departments, reports that federal allocations this fiscal year total $568 mn.; in fiscal year 2005, they amounted to $863 mn.
Nowhere is the need for an FDR economic revolution more evident than in the case of the U.S. infrastructure disaster. As one mayor put it, "We clearly, absolutely know we are so far behind the world in infrastructure quality of any kind." There is great cynicism among the mayors when it comes to the federal and even state governments.
"I once believed that when people were endangered because of public policy failures, our federal and state leaders would respond and address the problems,"
one mayor said. But the non-responses to multiple life-threatening crises—e.g., Flint, Michigan—"demonstrates that federal leaders will not even effectively respond when lives are at issue."
In 2013, the American Society of Civil Engineers reported there were 57,000 structurally-deficient bridges in the U.S. In the absence of funding, former Transportation Secretary Ray LaHood reports, mayors struggle to find ways to keep transportation systems going, to fix bridges and "interstates [interstate highways—ed.] that are crumbling." They look for foreign or private investment, and public-private partnership opportunities—whatever they can figure out. "We’re doing our share at the local level," said one mayor. "Now its incumbent on the State Legislature and on this Congress to invest in a 21st- Century infrastructure."


